白内障には、この他にもアトピー性皮膚炎が原因となる「アトピー性白内障」、ぶどう膜炎など眼の炎症に続いて起こる「併発白内障」、生まれつきの「先天性白内障」など、いくつかの種類があります。
アイセンター
あらゆる眼科疾患に対して、総合的かつ専門的な眼科医療を提供
白内障、緑内障の手術治療だけでなく、角膜移植や角膜感染症、重症眼アレルギー、視神経炎などの重症疾患にもアイセンターの経験豊富な専門医が対応します。
マルチリンガルな医師も在職しており、海外からの眼科診療の希望にもお応えします。
- 連絡先
- TEL.092-832-1100(代表)
TEL.092-832-1226(予約専用)
対象となる主な疾患
白内障、緑内障、角膜・外眼部疾患、糖尿病網膜症、角膜・結膜・強膜の疾患、外眼部・眼瞼の疾患、網膜・視神経の疾患、屈折異常、眼窩・全身疾患に関連する目の病気
など
白内障
白内障とは
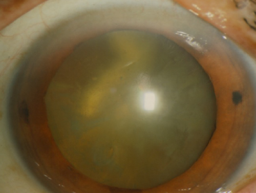
加齢性白内障
白内障には、この他にもアトピー性皮膚炎が原因となる「アトピー性白内障」、ぶどう膜炎など眼の炎症に続いて起こる「併発白内障」、生まれつきの「先天性白内障」など、いくつかの種類があります。
症状
水晶体の濁りが強くなると、かすみやまぶしさが増して視力が低下します。
白内障が原因で視力が低下すると、眼鏡をかけても見やすくはなりません。
手術
2.4mm~3mm程度の切開創から濁った水晶体を「超音波乳化吸引術」で砕いて吸引し、代わりに透明な人工レンズ「眼内レンズ挿入術」を行います。
手術は基本的に局所麻酔で行い、日帰り手術が可能です。
入院治療をご希望の方は、片眼で3日間程度、両眼で1週間程度となります。
眼内レンズの種類と機能
手術で入れる眼内レンズには、大きく分けて2種類:「単焦点眼内レンズ」と焦点が2つ以上ある「多焦点眼内レンズ」に分類されます。
どちらのレンズを選ぶかは、患者様の眼の状態やライフスタイルよって適応するレンズが異なりますので、手術前にしっかり話し合い、理解した上で手術を行います。
単焦点眼内レンズ ※保険診療の対象
焦点(ピント)が合う距離が1か所になり、同時に複数の距離にピントを合わせることができません。
遠くに焦点が合っている場合は、近くを見るための老眼鏡が必要になります。一方で、近くに焦点が合っている場合は、遠方を見るための眼鏡が必要になります。拡張焦点深度型眼内レンズ(EDOF)は焦点の幅を広げることで、見える範囲を広げる新しいタイプの眼内レンズです。
◆多焦点眼内レンズ ※選定療養の対象
プレミアム眼内レンズとも呼ばれる多焦点眼内レンズは、複数の距離にピントが合い、近くも遠くも見えるようになります。
見えにくい距離がある場合は、眼鏡が必要ですが、単焦点レンズよりも眼鏡の使用頻度は低くなります。
単焦点レンズと異なるのは手術費用の一部は自己負担となり、単焦点レンズと比べ夜間の光線に対して自覚することがあります。
眼の状態や日常生活に合わせて、医師と相談しながら決めていきます。
※費用の詳細は医師、スタッフにお尋ねください
手術後の経過
水晶体の濁りをとり、透明な眼内レンズを挿入することで視力は回復します。
ただし術後も焦点の合わせ方により眼鏡は必要ですので、手術の約3週間後に作製します。
術後は充血、ごろごろ感などの症状がありますが、1~2週間程度でおさまります。
感染を防ぎ、炎症を抑えるために、しばらくは点眼治療を行い、定期検診を受けていただきます。
加齢黄斑変性
加齢黄斑変性とは
黄斑(おうはん)の変性によって視力が低下する疾患です。
黄斑は物を見るために最も大切な網膜の中心部にあり、文字を読んだり、顔を認識したり、色を感じたりする視力の中心となる部分です。
この病気では、黄斑の裏側にある脈絡膜に新生血管(異常血管)が発生することで黄斑が変性し、視機能が障害されることによって生じます。
症状
物の中心がかすんで見えたり、ゆがんで見えたり、黒く欠けて見えたりします。わが国の成人失明原因の第4位です。
治療
抗VEGF(血管内皮成長因子)抗体製剤の硝子体内注射が導入され、異常血管の成長を抑える働きがあり、進行の抑制や視力回復が期待できます。複数回の治療を要することが多いです。
当センターでも、この治療を保険診療で行っています。
定期検査の流れ、サプリメントや生活習慣の注意点などもご提案します。
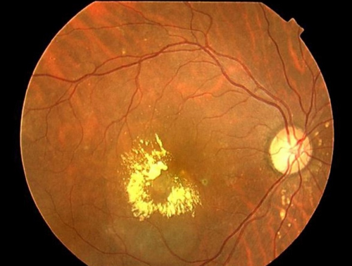
正常眼底
加齢黄斑変性
黄斑円孔
黄斑円孔とは
黄斑円孔
症状
物がゆがんで見えたり、視界の中心が暗くぼやけたりする(中心暗点)などの症状が現れます。
放置すると中心暗点が拡大し、視力が低下します。
治療
硝子体手術(硝子体切除とガス注入)によって穴を閉じる治療が行われます。
術後は多くの方で視力の改善が期待できます。早期の治療がより良い視力予後につながります。
黄斑上膜(網膜前膜、ERM)
黄斑上膜(網膜前膜、ERM)とは
黄斑上膜
症状
視力低下や変視症を引き起こす疾患です。
原因は特発性(特に原因がないもの)が多いものの、網膜剥離や硝子体手術後、ぶどう膜炎などに続発することもあります。
治療
視機能への影響が軽度であれば、経過観察が可能です。
しかし、変視や歪視(わいし・ゆがんで見えること)、視力障害が強い場合は、硝子体手術による膜除去術が適応となります。
術後の視機能改善は膜の進行度や術前視力に依存しますが、一般的に良好な予後が期待できます。
糖尿病網膜症
糖尿病網膜症とは
増殖糖尿病網膜症:多数の新生血管が視神経乳頭から伸びている
血糖コントロールが悪い状態が続くと、単純網膜症から増殖前網膜症へと次第に進行します。
さらに増殖糖尿病網膜症になると、硝子体出血や牽引性網膜剥離を引き起こし、視力が著しく低下します。
特に増殖糖尿病網膜症になると、異常血管(新生血管)が生えてくることで、難治性網膜剥離や新生血管緑内障などが発症します。
症状
視力の低下、視野狭窄を起こす疾患です。
初期には自覚症状が乏しいことがほとんどであり、気づかないうちに進行してしまうこともある病気です。
治療
基本はレーザー治療(汎網膜光凝固術)または抗VEGF硝子体内注射か併用治療です。
さらに進行し、視力が低下すると、抗VEGF(血管内皮成長因子)抗体製剤によって新生血管の退縮を促し、糖尿病黄斑症の治療が行われます。
早期発見、早期治療が視力予後に影響しますので、糖尿病がある方は定期的な眼科検診をおすすめします。
当センターでは、これまで多くの患者様に適した治療を提供しています。
網膜血管閉塞症
網膜血管閉塞症とは
網膜分枝静脈閉塞症
網膜には、栄養や酸素を運ぶ網膜動脈と血液を心臓へ戻す網膜静脈があります。
この血流が何らかの原因で止まってしまうと視力低下や視野異常をきたします。
症状
網膜動脈閉塞症では虚血によって、視細胞が短時間で壊死することがあります。
心筋梗塞に似た状態ととらえられ、発症から数時間以内で失明に至ることもあります。
網膜静脈分枝閉塞症は静脈の流れがつまり、血液が逆流することで網膜に出血やむくみが起こることがあります。
放置すると徐々に網膜が虚血化し、続発緑内障となり、失明に至ることもあります。
発症後は速やかに受診していただき、早期の治療を行うことが重要です。
治療
緊急対応で抗VEGF抗体製剤治療が主に行われます。
病型に応じて網膜光凝固や抗VEGF硝子体内注射の併用治療が行われます。
緑内障
緑内障とは
眼の硬さが固く(眼圧の上昇)なることにより視神経や神経線維が障害される疾患です。
40歳以上の日本人の緑内障有病率は約20人に1人です。わが国の成人失明原因の第1位です。
症状
徐々に視野が狭くなっていきますが、初期には反対眼の視野で補われるので、自覚症状が少なく、気づかないうちに進んでしまうことが多いのが特徴です。検診で緑内障の疑いを指摘された方は、どうぞお気軽にご相談ください。
急性発作を起こすタイプは緊急処置を要する病気です。慢性的に進行する緑内障や続発緑内障は早期発見、早期治療で病気の進行を抑えることができます。
治療
緑内障の治療の目的は、眼圧を下げて視神経へのダメージを抑えることです。
病気の進行を止めることはできますが、一度失った視野は元に戻せませんので早期発見、早期治療、継続治療が大切になります。
初期治療としては、点眼薬による薬物治療または低侵襲レーザー治療(SLT:選択的線維柱帯形成術)を行います。
保護的治療で眼圧のコントロールが得られない場合は、手術を行います。
流出路再建術や濾過手術に加え、近年では、MIGS(低侵襲緑内障手術)と呼ばれる手術を行います。
緑内障の病型や視野進行の程度に応じて当センターでもマイクロフックを用いた線維柱帯切開術やiStentW®手術を行っています。
Express®シャント手術に加え比較的新しいブレブ手術であるプリザーフロ®マイクロシャント手術についても、適応がある患者様に対して治療を行います。
正常視神経乳頭
緑内障による視神経乳頭陥凹
ぶどう膜炎
ぶどう膜炎とは
眼球の茶色い部分をぶどう膜と呼び、フィルム式のカメラのように、内部を暗くして映像を見やすくする機能があります。
血管の豊富な組織で、炎症を生じやすい性質があり、ここに生じる炎症をぶどう膜炎といいます。
感染性と非感染性に分類されます。
わが国では、ベーチェット病、フォークト小柳原田病、サルコイドーシスなどが多く見られますが、原因不明の疾患もたくさんあります。
治療
従来はステロイド薬が治療の中心でしたが、生物学的製剤である抗TNF-α薬による治療が導入され、視力予後が大きく改善しています。
炎症によって硝子体が濁った場合は、硝子体手術を行うこともあります。
当院でも、最新のぶどう膜炎治療を行っています。
ベーチェット病
フォークト小柳原田病 (急性期の漿液性網膜剥離)
感染性角膜炎
感染性角膜炎とは
角膜にさまざまな原因で微生物が病巣を作って引き起こされる感染症です。
特に近年増加しているのは、コンタクトレンズに関連した角膜潰瘍で、緑膿菌、真菌やアカントアメーバなどが原因です。
治療
基本的な治療は抗微生物薬による薬物治療ですが、治療時期が遅れると、角膜の奥深くに微生物が侵入し、さらに眼球全体の炎症である眼内炎に移行することもあります。治療には数か月を要することもあります。
重症の感染性角膜炎に対して、当センターでは病原体を含む病巣を完全に取り除くことと、視力を回復する治療を同時に行う、治療的深部表層角膜移植を積極的に行っています。
治療成績は良好で、治療期間を大幅に短縮できる治療です。
真菌性角膜炎 (フザリウムによる症例)
アカントアメーバ角膜炎 (移行期)
深部表層角膜移植で治療した アカントアメーバ角膜炎
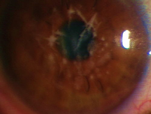
角膜ジストロフィ
角膜ジストロフィとは
格子状角膜ジストロフィ
角膜の濁りの種類に応じて、顆粒状角膜ジストロフィ、格子状角膜ジストロフィ、斑状角膜ジストロフィ、膠様滴状角膜ジストロフィ、フックス角膜内皮ジストロフィなどがあります。
治療
角膜移植による治療が確実な治療法です。
混濁の程度や部位に応じて、全層移植、深部表層移植あるいは内皮移植を選択して治療します。
円錐角膜
円錐角膜とは
原因は不明ですが、早ければ10代から40代くらいまで進行していきます。
症状
進行すると、強い乱視のために眼鏡では矯正できなくなり、視力が低下したり物がひどくゆがんで見えたりするようになります。
治療
ハードコンタクトレンズを装用することで、視力矯正とともに進行を抑えることができるとされています。
また初期にはクロスリンキング治療も選択肢の一つです。
変形した部分に水がたまった状態を角膜急性水腫といいますが、このために残った濁りやハードコンタクトレンズがつけられなくなるほど進行している場合は、角膜移植の適応になります。
当センターでは進行眼に対して深部表層角膜移植を原則的に行います。拒絶反応のない治療法で、術後早期に視力回復が得られます。
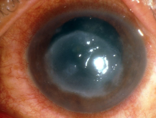
水疱性角膜症
水疱性角膜症とは
角膜の一番奥を内皮といいますが、ここは再生しない組織です。そのため手術や炎症性疾患などで、角膜内皮細胞数が減少すると、角膜に水がたまる(浮腫)ようになります。
進行すると混濁して水疱性角膜症になります。
症状
物がぼやけて見え、さらに進むとやけどの水ぶくれ(水疱)と同じような眼の痛みが続くようになります。
治療
治療の基本は角膜移植であり、内皮移植を実施します。
内皮移植は、空気の力で角膜内皮のみを接着させる新しい手術で、従来の全層移植のような角膜同士を縫う必要がありません。
全層移植と比べて拒絶反応が少なく、術後の視力経過も良好です。
水疱性角膜症(術前)
角膜内皮移植後10か月、視力は(1.0)
視神経炎
視神経炎とは
視神経炎
最近、細胞の表面にある水チャネルのサブタイプの一つであるアクアポリン4に対する抗体(抗AQP4抗体)が陽性の症例に重症例が多いことが明らかになってきました。
抗Mog抗体というミエリンに対する自己抗体が陽性の症例があることもわかってきました。
これらはNMOSD(視神経脊髄炎スペクトラム障害)といわれています。
症状
視力が低下し、眼の奥にある視神経が腫れるために、眼を動かした時の眼の奥の痛みを伴います。
治療
ステロイドパルス療法が第1選択になりますが、生物学的製剤による治療で再発が減っており、当センターでもこれらの治療を脳神経内科とも協力して行います。
春季カタル
春季カタルとは
石垣状乳頭増殖がみられる春季カタルの上眼瞼の裏側結膜
原因はわかりませんが、幼稚園から小学校低学年の男の子に圧倒的に多く見られます。
上まぶたの裏に巨大乳頭という大きな出っ張りがたくさん形成されます。
症状
強い眼の痛みや目やにのために、眼が開かなくなって通学が困難になります。
視力も下がります。
治療
免疫抑制点眼薬の導入によって、ステロイド点眼薬に見られる眼圧が上昇することなく、治療ができるようになります。
当センターでは免疫抑制点眼薬を長期管理に用いるプロアクティブ療法を行っています。
特に重症の場合には、トリアムシノロンの眼瞼皮下注射を行います。
数日で症状が改善して、登校ができるようになります。
眼圧上昇の副作用がなく、効果が3~6か月持続するのが特徴です。
トリアムシノロン注射10日後の春季カタルの上眼瞼の裏側結膜その他
上記の疾患に加え結膜腫瘤、霰粒腫、麦粒腫、下眼瞼内反症、翼状片、偽翼状片、ヘルペス性角膜炎、網膜剥離、ウイルス性網膜炎など、前眼部から後眼部に至る多岐にわたる眼疾患に対しても、精密検査および適切な治療が行える体制を整えています。
当院ではこれらの診療に対応可能な最新の検査機器を導入し、各領域に精通した眼科専門医が常駐しています。
地域の皆さまの大切な眼の健康を守るために、高度な医療と真心をもって、質の高い診療を提供してまいります。
| ご予約 | TEL:092-832-1226(予約専用) |
|---|---|
| 受付時間 | 月~土曜 9:00~17:00(祝日除く) |
当院は全室個室で、都心の喧騒を離れた静かな空間の中、専門性の高い経験豊富なスタッフによる眼科診療を提供します。
ハイレベルな食事や熟練したスタッフによるケアを含め、快適な診療環境を整えています。
眼の症状や見え方に関するあらゆるお困りごとに対応し、予約の有無にかかわらず診察します。 当院は選定療養費の対象施設ではないため、紹介状がなくても受診可能ですが、他の医療機関で治療を受けられている場合は、できるだけ紹介状をお持ちください。
ご不明な点がございましたら、遠慮なくお問い合わせください。
